宫颈管细胞是女性生殖系统中的一种重要细胞,其功能与女性生育能力密切相关。宫颈管细胞在宫颈管内覆盖着黏膜层,起着保护和支持作用。本文将从四个方面来探讨宫颈管细胞的意义。
一、宫颈管细胞的结构
宫颈管细胞是一种柱状上皮细胞,其特点是细长而富有弹性。宫颈管细胞覆盖在宫颈管壁上,形成了宫颈管的内膜,这一层薄膜在女性生殖系统中扮演着重要的角色。
二、宫颈管细胞的保护功能
宫颈管细胞具有保护宫颈管的重要功能。宫颈管作为连接子宫和阴道的通道,如果没有宫颈管细胞的保护,宫颈管壁容易受到感染和损伤。宫颈管细胞通过分泌粘液来形成一道屏障,阻止病菌进入子宫。同时,宫颈管细胞还能够产生抗体和单核细胞,起到免疫防御的作用,保护子宫免受感染。
三、宫颈管细胞与生育能力的关系
宫颈管细胞对于女性的生育能力至关重要。宫颈管细胞的健康状况直接影响到女性受孕和顺利分娩的能力。例如,宫颈管细胞的缺陷可能导致宫颈松弛、堕胎和早产等问题。因此,女性在生育年龄时需要加强对宫颈管细胞的保护和关注,及早发现并及时治疗潜在的问题。

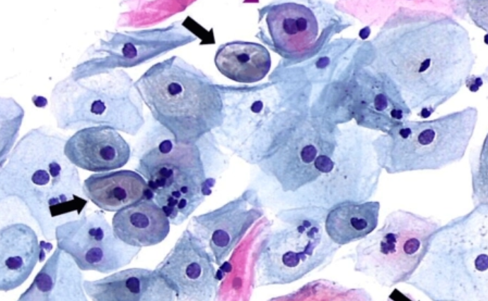
四、宫颈管细胞在妇科疾病中的意义
宫颈管细胞的异常变化可以作为妇科疾病的重要指标之一。例如,宫颈管细胞的增生或异型增生可能是宫颈癌的前兆,通过对宫颈管细胞的检查可以及早发现并治疗这些病变,降低癌变的风险。宫颈管细胞还可以通过细胞学检查检测出其他妇科疾病,如宫颈炎、宫颈息肉等,帮助医生进行诊断和治疗。
总结:宫颈管细胞在女性生殖系统中具有重要的意义。宫颈管细胞的结构和功能保护着宫颈管,维护女性身体的健康。宫颈管细胞与女性的生育能力息息相关,对于女性的受孕和分娩起着关键的作用。同时,宫颈管细胞的变化也可以成为妇科疾病的重要指标,通过对宫颈管细胞的检查可以及早发现并治疗疾病,保障女性健康。因此,我们应该关注并重视宫颈管细胞的健康状况,定期进行相关检查,以提前预防和治疗可能存在的问题,确保女性的身体健康。
云作文原创内容,未经允许不得转载。